C2C12成肌细胞成肌管诱导分化培养基试剂盒
C2C12小鼠成肌细胞是由C3H小鼠骨骼肌卫星细胞永生化而来的细胞株,因为细胞形态和特性均一,可无限代培养,因此常常被用做肌系细胞发育分化研究的模板。
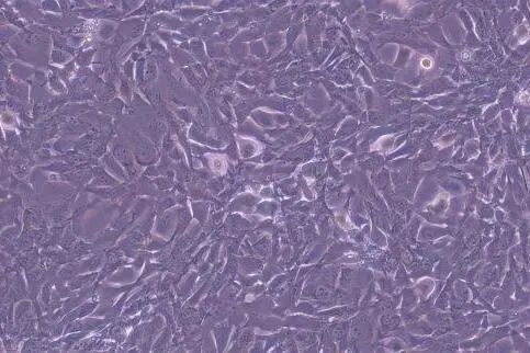
C2C12小鼠成肌细胞

产品简介
C2C12成肌细胞成肌管诱导分化培养基试剂盒是一种适用于C2C12成肌细胞分化成肌管的培养基,本试剂盒包含适合C2C12成肌细胞生长的专用培养基、C2C12成肌细胞分化培养基、诱导细胞分化所需的添加物。本产品适用于C2C12成肌细胞的成肌管诱导分化。大量细胞培养数据验证,本产品可稳定、高效诱导上述C2C12成肌细胞分化为成肌管细胞。
产品特点
可靠的检测手段 配套染色液及多种检测方法兼容(WB、qPCR)。
操作简便 试剂盒包含诱导分化所需的全部关键成分,节省时间和精力。
适用性强 能够满足大多C2C12成肌细胞实验的需求,用户也可自行调整细胞密度,诱导时间等以获得更好的实验效果。
高效诱导分化 试剂盒组分经过优化组合能够高效的诱导C2C12成肌细胞分化为成肌管细胞,诱导过程具有稳定性和可重复性。
质量可靠 产品经过严格质量控制。
产品列表
货号 | 名称 | 规格 |
CA5000 | C2C12成肌细胞成肌管 诱导分化培养基试剂盒 | 1 Kit |
1Kit+1EA |
产品验证结果
显微镜观察

显微观察可以看出在诱导分化培养基的作用下,C2C12成肌细胞的形态逐渐发生变化,由原来的扁平形态逐渐变为梭形或圆形,这是肌管形成的典型形态学特征。
RT-PCR检测结果
C2C12 成肌细胞分化不同时期myogenin表达
myogenin

desmin
C2C12 成肌细胞分化不同时期desmin表达
注: *P<0.05,**P<0.01,***P<0.001,****P<0.0001
Western blot检测结果


分化不同时期myogenin的蛋白质水平,右图为灰度分析图
RT-PCR和Western blot检测结果显示C2C12 细胞在诱导分化后的第1天至第3天,分化状态呈快速递增趋势,并且在第3天达到了MAX分化效果,诱导分化后的第4天至第7天,分化状态呈缓慢降低的趋势。
